Hình ảnh bệnh viêm phổi - Những tổn thương trong phổi

Xem ngay hình ảnh bệnh viêm phổi qua phim X-quang và triệu chứng lâm sàng. Bài viết cung cấp thông tin y khoa về nguyên nhân, dấu hiệu và cách phòng ngừa hiệu quả.


  • Cập nhật: 09-10-2025

Đừng xem thường các triệu chứng ho, sốt kéo dài. Nhận biết sớm qua hình ảnh bệnh viêm phổi và các dấu hiệu lâm sàng là chìa khóa để điều trị kịp thời, tránh biến chứng.

Nguyên nhân chính gây ra bệnh viêm phổi là gì?

  • Vi khuẩn, đặc biệt là phế cầu khuẩn (Streptococcus pneumoniae), là nguyên nhân phổ biến nhất gây viêm phổi ở người lớn, dẫn đến tình trạng nhiễm trùng ở nhu mô phổi.
  • Các loại virus như virus cúm, virus hợp bào hô hấp (RSV) và SARS-CoV-2 cũng có thể tấn công và gây tổn thương các túi khí (phế nang) trong phổi.
  • Nấm hoặc các vi sinh vật không điển hình khác cũng có thể gây viêm phổi, đặc biệt là ở những người có hệ miễn dịch bị suy yếu hoặc có bệnh nền mạn tính.
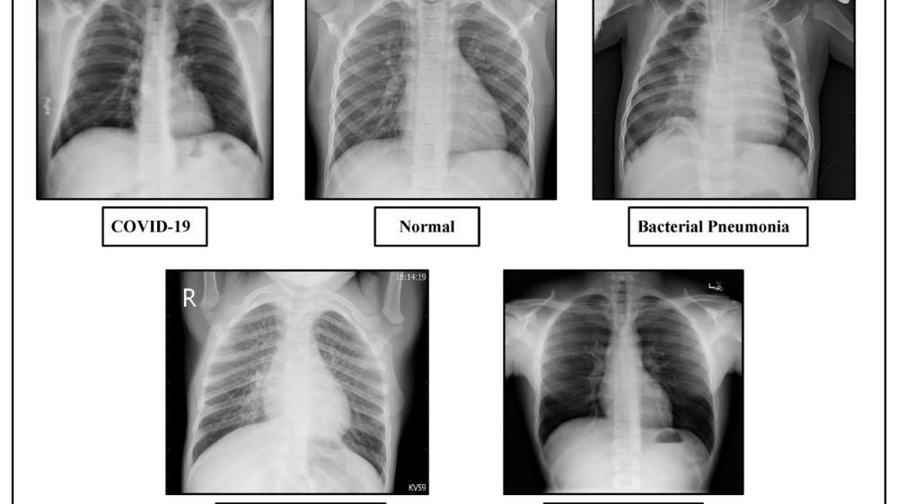
Hình ảnh chụp X-quang phổi của bệnh nhân bị viêm phổi
Hình ảnh chụp X-quang phổi của bệnh nhân bị viêm phổi

Các triệu chứng chính của bệnh viêm phổi cần chú ý

  • Bệnh nhân thường sốt cao, ớn lạnh, rét run đột ngột kèm theo mệt mỏi, đau đầu và đau nhức cơ bắp toàn thân.
  • Ho là triệu chứng điển hình, ban đầu có thể ho khan, sau đó chuyển sang ho có đờm màu xanh, vàng, hoặc có thể lẫn máu.
  • Cảm giác đau tức ngực, đặc biệt đau tăng khi ho hoặc hít thở sâu, kèm theo khó thở, thở nhanh và nông là những dấu hiệu cần được chú ý.

Làm thế nào để phòng ngừa bệnh viêm phổi hiệu quả?

  • Tiêm phòng đầy đủ các loại vắc-xin quan trọng như vắc-xin cúm hàng năm và vắc-xin phế cầu khuẩn, đặc biệt cho người cao tuổi và trẻ em.
  • Duy trì thói quen vệ sinh cá nhân tốt, thường xuyên rửa tay bằng xà phòng, che miệng khi ho hoặc hắt hơi để ngăn ngừa lây lan mầm bệnh.
  • Không hút thuốc lá, tránh xa khói thuốc và xây dựng một lối sống lành mạnh để tăng cường sức đề kháng chung của hệ hô hấp và cơ thể.

>>> Đừng bỏ lỡ: Hình ảnh bệnh lang ben và cách điều trị dứt điểm ngay tại nhà

Tổng hợp các hình ảnh về bệnh viêm phổi trực quan nhất

So sánh triệu chứng viêm phổi ở người lớn và trẻ em
So sánh triệu chứng viêm phổi ở người lớn và trẻ em
Dấu hiệu viêm phổi ở trẻ sơ sinh và trẻ nhỏ
Dấu hiệu viêm phổi ở trẻ sơ sinh và trẻ nhỏ
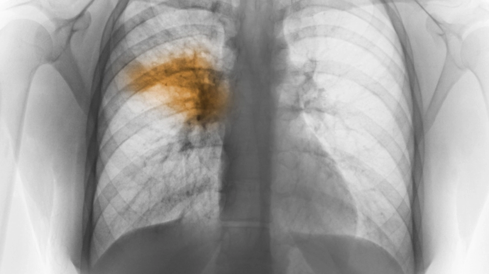
Hình ảnh tổn thương thùy phổi khi chụp X-quang phổi
Hình ảnh tổn thương thùy phổi khi chụp X-quang phổi
Phân biệt viêm phế quản và viêm phổi qua triệu chứng
Phân biệt viêm phế quản và viêm phổi qua triệu chứng
Phân biệt viêm phế quản và viêm phổi qua triệu chứng
Phân biệt viêm phế quản và viêm phổi qua triệu chứng
Tầm quan trọng của việc chụp X-quang phổi
Tầm quan trọng của việc chụp X-quang phổi
Giải đáp thắc mắc viêm phổi có lây không
Giải đáp thắc mắc viêm phổi có lây không
Các cách điều trị viêm phổi tại nhà an toàn
Các cách điều trị viêm phổi tại nhà an toàn

>>> Đừng bỏ lỡ: Bệnh phong cùi- Hình ảnh và những thông tin y khoa cần biết

Viêm phổi là bệnh nghiêm trọng và cần được điều trị bởi bác sĩ. Khi có các dấu hiệu nghi ngờ, hãy đến cơ sở y tế ngay để được chẩn đoán và điều trị.

>>> Bạn có thể quan tâm: Bệnh đau mắt hột- Hình ảnh, nguyên nhân và cách phòng ngừa


Hùng Nguyên

Khám phá bộ sưu tập ảnh bệnh của Hùng Nguyên với hình ảnh minh họa chi tiết, chân thực và có giá trị tham khảo, giúp người xem hiểu rõ hơn về các triệu chứng và kiến thức y học.


Để Lại Bình Luận Của Bạn

Địa chỉ email của bạn sẽ không được công bố. Các trường bắt buộc được đánh dấu *
×
Ảnh toàn màn hình