Album ảnh phân biệt các loại sâu răng và vị trí thường gặp

Xem ngay hình ảnh bệnh sâu răng qua từng giai đoạn để nhận biết sớm. Bài viết cung cấp thông tin y khoa về nguyên nhân, triệu chứng và cách phòng ngừa hiệu quả.


  • Cập nhật: 07-10-2025

Đừng để cơn đau răng bất chợt làm phiền bạn. Nhận biết sớm qua hình ảnh bệnh sâu răng là cách tốt nhất để bảo vệ nụ cười và tránh các biến chứng tốn kém.

Nguyên nhân chính gây ra bệnh sâu răng là gì?

  • Sự tích tụ của mảng bám chứa vi khuẩn, chúng chuyển hóa đường từ thực phẩm thành axit và bắt đầu ăn mòn men răng, lớp vỏ bảo vệ bên ngoài.
  • Chế độ ăn uống chứa nhiều đường và tinh bột tạo điều kiện lý tưởng cho vi khuẩn trong miệng phát triển, đẩy nhanh quá trình hủy khoáng men răng.
  • Vệ sinh răng miệng không đúng cách, không thường xuyên làm cho mảng bám không được loại bỏ, tạo cơ hội cho sâu răng hình thành và phát triển nặng hơn.
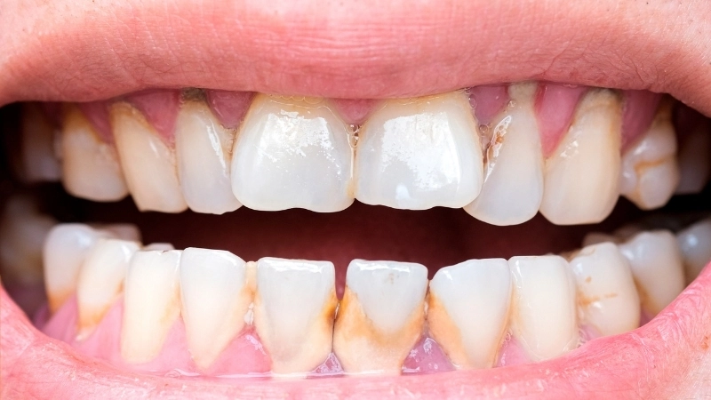
Minh họa các dấu hiệu sâu răng ở giai đoạn đầu
Minh họa các dấu hiệu sâu răng ở giai đoạn đầu

Các triệu chứng chính của bệnh sâu răng cần chú ý

  • Răng trở nên nhạy cảm, xuất hiện cảm giác ê buốt hoặc đau nhói khi ăn uống đồ nóng, lạnh, ngọt hoặc chua một cách đột ngột.
  • Trên bề mặt răng xuất hiện các đốm nhỏ màu trắng đục, nâu hoặc đen, đây là những dấu hiệu sớm của tình trạng men răng bị tổn thương.
  • Khi lỗ sâu trở nên lớn hơn, bạn có thể cảm nhận hoặc nhìn thấy các lỗ hổng, mảnh vỡ trên răng và thường xuyên bị đau nhức khi nhai.

Làm thế nào để phòng ngừa bệnh sâu răng hiệu quả?

  • Duy trì thói quen chải răng ít nhất hai lần mỗi ngày bằng kem đánh răng chứa fluor và sử dụng chỉ nha khoa để làm sạch kẽ răng hàng ngày.
  • Hạn chế tiêu thụ thực phẩm và đồ uống có đường, đặc biệt là giữa các bữa ăn, để giảm lượng axit có hại tấn công men răng.
  • Thăm khám nha sĩ định kỳ 6 tháng một lần để kiểm tra tổng quát, làm sạch mảng bám và phát hiện sớm các vấn đề về răng miệng.

>>> Đừng bỏ lỡ: Các bệnh về gan- Hình ảnh và dấu hiệu cảnh báo không thể bỏ qua

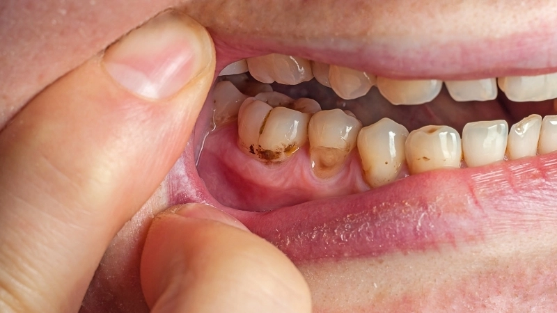
Tổng hợp các hình ảnh về bệnh sâu răng trực quan nhất

Các loại thuốc trị sâu răng phổ biến trên thị trường
Các loại thuốc trị sâu răng phổ biến trên thị trường
Mức độ sâu răng ở trẻ em và cách phòng tránh
Mức độ sâu răng ở trẻ em và cách phòng tránh
Tìm hiểu làm sao để hết đau răng nhanh chóng
Tìm hiểu làm sao để hết đau răng nhanh chóng
Tình trạng răng sâu bị vỡ và cách khắc phục
Tình trạng răng sâu bị vỡ và cách khắc phục
Kỹ thuật hàn răng sâu thẩm mỹ
Kỹ thuật hàn răng sâu thẩm mỹ
Quy trình trám răng sâu tại nha khoa
Quy trình trám răng sâu tại nha khoa
Hình ảnh mô tả tình trạng răng sâu vào tủy
Hình ảnh mô tả tình trạng răng sâu vào tủy
Những cách chữa sâu răng tại nhà cần lưu ý
Những cách chữa sâu răng tại nhà cần lưu ý

>>> Khám phá thêm: Bệnh đau dạ dày- Hình ảnh và các triệu chứng thường gặp nhất

Chăm sóc răng miệng đúng cách là biện pháp bảo vệ tốt nhất. Hãy đến gặp nha sĩ định kỳ 6 tháng/lần để kiểm tra và lấy cao răng, giữ cho nụ cười luôn khỏe mạnh.

>>> Gợi ý cho bạn: Hình ảnh các loại mụn trứng cá và cách phân biệt chính xác


Hùng Nguyên

Khám phá bộ sưu tập ảnh bệnh của Hùng Nguyên với hình ảnh minh họa chi tiết, chân thực và có giá trị tham khảo, giúp người xem hiểu rõ hơn về các triệu chứng và kiến thức y học.


Để Lại Bình Luận Của Bạn

Địa chỉ email của bạn sẽ không được công bố. Các trường bắt buộc được đánh dấu *
×
Ảnh toàn màn hình