Hình ảnh bệnh lao phổi - Dấu hiệu nhận biết sớm

Bài viết cung cấp các hình ảnh bệnh lao phổi qua X-quang, CT-scan và dấu hiệu nhận biết. Tìm hiểu nguyên nhân, triệu chứng và cách phòng ngừa bệnh hiệu quả.


  • Cập nhật: 06-10-2025

Đừng bỏ qua những thông tin y khoa quan trọng về bệnh lao phổi. Nhận biết sớm các dấu hiệu qua hình ảnh trực quan là bước đầu tiên để bảo vệ sức khỏe của bạn và gia đình.

Nguyên nhân chính gây ra bệnh lao phổi là gì?

  • Nguyên nhân trực tiếp gây bệnh là do vi khuẩn lao có tên khoa học là Mycobacterium tuberculosis (MTB) tấn công và gây tổn thương tại nhu mô phổi.
  • Vi khuẩn lao lây truyền chủ yếu qua đường không khí khi người bệnh ho, hắt hơi, khạc nhổ, tạo ra các hạt bụi nhỏ chứa vi khuẩn trong không khí.
  • Hệ miễn dịch suy yếu do HIV/AIDS, đái tháo đường, suy dinh dưỡng, hoặc sử dụng thuốc ức chế miễn dịch làm tăng nguy cơ mắc bệnh lao phổi cao hơn.
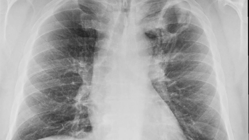
Hình ảnh x quang lao phổi điển hình
Hình ảnh x quang lao phổi điển hình

Các triệu chứng chính của bệnh lao phổi cần chú ý

  • Triệu chứng hô hấp điển hình là ho khan, ho có đờm, ho ra máu kéo dài trên 2 tuần mà không đáp ứng với các loại thuốc thông thường.
  • Các triệu chứng toàn thân bao gồm sốt nhẹ về chiều, đổ mồ hôi trộm vào ban đêm, sụt cân không rõ nguyên nhân, cơ thể mệt mỏi và chán ăn.
  • Khi bệnh tiến triển, người bệnh có thể cảm thấy đau ngực, khó thở do tổn thương phổi lan rộng, gây ảnh hưởng nghiêm trọng đến chức năng hô hấp.

Làm thế nào để phòng ngừa bệnh lao phổi hiệu quả?

  • Tiêm vắc-xin BCG là biện pháp phòng ngừa chủ động hiệu quả nhất, đặc biệt là cho trẻ sơ sinh và trẻ nhỏ để ngăn ngừa các thể lao nguy hiểm.
  • Duy trì vệ sinh cá nhân tốt, đeo khẩu trang ở nơi đông người, che miệng khi ho và hắt hơi để giảm thiểu nguy cơ lây nhiễm vi khuẩn lao.
  • Xây dựng một lối sống lành mạnh, ăn uống đủ chất, tập thể dục thường xuyên và khám sức khỏe định kỳ để tăng cường hệ miễn dịch, giúp cơ thể chống lại vi khuẩn.

>>> Xem thêm ảnh: Hình ảnh bệnh thủy đậu ở người lớn - Dấu hiệu cần lưu ý

Chẩn đoán hình ảnh bệnh lao phổi qua các phương pháp phổ biến

Tổng quan các hình ảnh bệnh lao phổi thường gặp
Tổng quan các hình ảnh bệnh lao phổi thường gặp
Hình ảnh phổi của người bị lao ở giai đoạn đầu
Hình ảnh phổi của người bị lao ở giai đoạn đầu
Đặc điểm hình ảnh bệnh lao kê lan tỏa
Đặc điểm hình ảnh bệnh lao kê lan tỏa
Hình ảnh về bệnh lao thể hiện qua tổn thương đỉnh phổi
Hình ảnh về bệnh lao thể hiện qua tổn thương đỉnh phổi
Phân tích cận cảnh hình ảnh phổi bị lao
Phân tích cận cảnh hình ảnh phổi bị lao
Hình ảnh lao phổi trên CT scan chi tiết
Hình ảnh lao phổi trên CT scan chi tiết
So sánh lao và hình ảnh phổi bình thường
So sánh lao và hình ảnh phổi bình thường

>>> Thêm hình ảnh để khám phá: Hình ảnh về bệnh sởi - Triệu chứng điển hình ở trẻ em

Chủ động tìm hiểu và nhận biết các dấu hiệu của bệnh lao phổi là cách tốt nhất để bảo vệ sức khỏe. Hãy đến cơ sở y tế để được tư vấn và chẩn đoán kịp thời khi có triệu chứng nghi ngờ.

>>> Bạn muốn xem thêm: Hình ảnh bệnh đậu mùa - Nhận biết và phòng ngừa nguy hiểm


Hùng Nguyên

Khám phá bộ sưu tập ảnh bệnh của Hùng Nguyên với hình ảnh minh họa chi tiết, chân thực và có giá trị tham khảo, giúp người xem hiểu rõ hơn về các triệu chứng và kiến thức y học.


Để Lại Bình Luận Của Bạn

Địa chỉ email của bạn sẽ không được công bố. Các trường bắt buộc được đánh dấu *
×
Ảnh toàn màn hình