Hình ảnh bệnh lao da và dấu hiệu sớm dễ bị nhầm lẫn

Tổng hợp hình ảnh bệnh lao da giúp nhận biết các triệu chứng, hiểu rõ nguyên nhân do vi khuẩn Mycobacterium Tuberculosis và phương pháp điều trị hiệu quả từ chuyên gia.


  • Cập nhật: 09-10-2025

Một tổn thương da không lành có thể là dấu hiệu của bệnh lao. Đừng bỏ qua những hình ảnh và thông tin y khoa quan trọng này để phát hiện bệnh sớm và điều trị kịp thời.

Nguyên nhân chính gây ra hình ảnh bệnh lao da là gì?

  • Bệnh gây ra bởi vi khuẩn Mycobacterium tuberculosis, cùng loại vi khuẩn gây bệnh lao phổi và các cơ quan khác trong cơ thể.
  • Vi khuẩn có thể đến da thông qua đường máu hoặc bạch huyết từ một ổ lao nội tạng (phổi, hạch) đang hoạt động.
  • Trong một số trường hợp hiếm gặp, vi khuẩn lao có thể xâm nhập trực tiếp vào da từ môi trường bên ngoài thông qua một vết thương hở.
Kỹ thuật xét nghiệm lao da giúp xác định sự hiện diện của vi khuẩn lao trong tổn thương.
Kỹ thuật xét nghiệm lao da giúp xác định sự hiện diện của vi khuẩn lao trong tổn thương.

Các triệu chứng chính của hình ảnh bệnh lao da cần chú ý

  • Các tổn thương trên da rất đa dạng, có thể là dạng nốt sần, mảng thâm nhiễm, loét, hoặc áp xe, thường phát triển chậm và không đau.
  • Một trong những dạng phổ biến là Lupus Vulgaris, biểu hiện bằng các nốt màu nâu đỏ, khi ấn kính vào có màu vàng nâu như "thạch táo".
  • Dạng Scrofuloderma thường xuất phát từ hạch lao bên dưới, da bị vỡ ra tạo thành các lỗ dò và vết loét, để lại sẹo co rúm.

Chẩn đoán và điều trị bệnh lao da hiệu quả như thế nào?

  • Việc chẩn đoán sớm là cực kỳ quan trọng, thường dựa vào các triệu chứng lâm sàng và các xét nghiệm chuyên sâu như sinh thiết da.
  • Điều trị bệnh lao da về cơ bản là điều trị bệnh lao toàn thân bằng phác đồ phối hợp nhiều loại thuốc kháng lao trong thời gian dài.
  • Bệnh nhân phải tuân thủ nghiêm ngặt chỉ định của bác sĩ, uống thuốc đều đặn và đủ thời gian để tránh kháng thuốc và tái phát.

>>> Gợi ý cho bạn: Hình ảnh bệnh whitmore - 'Vi khuẩn ăn thịt người' và dấu hiệu

Album hình ảnh nhận biết bệnh lao da

Cách điều trị bệnh lao da bằng thuốc kháng lao theo chỉ định
Cách điều trị bệnh lao da bằng thuốc kháng lao theo chỉ định
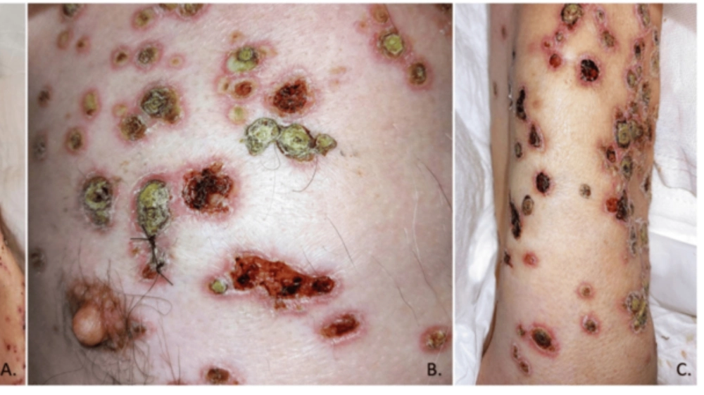
Dấu hiệu bệnh lao da với các vết loét lâu ngày không lành
Dấu hiệu bệnh lao da với các vết loét lâu ngày không lành
So sánh triệu chứng bệnh lao da thể Lupus Vulgaris và Scrofuloderma
So sánh triệu chứng bệnh lao da thể Lupus Vulgaris và Scrofuloderma
Bệnh lao da có nguy hiểm không nếu không được điều trị
Bệnh lao da có nguy hiểm không nếu không được điều trị
Quy trình thực hiện xét nghiệm lao da tại bệnh viện
Quy trình thực hiện xét nghiệm lao da tại bệnh viện
Hình ảnh các thể lao da thường gặp trong y văn
Hình ảnh các thể lao da thường gặp trong y văn
Phác đồ và cách điều trị bệnh lao da hiện nay
Phác đồ và cách điều trị bệnh lao da hiện nay

>>> Đừng bỏ lỡ: Hình ảnh bệnh ghẻ ruồi - Phân biệt với mụn nhọt thông thường

Lao da là một biểu hiện của bệnh lao toàn thân, cần được chẩn đoán và điều trị bởi bác sĩ chuyên khoa. Tuyệt đối không được tự ý điều trị tại nhà.

>>> Khám phá thêm: Hình ảnh bệnh tiêu chảy - Minh họa nguyên nhân và cách phòng ngừa


Hùng Nguyên

Khám phá bộ sưu tập ảnh bệnh của Hùng Nguyên với hình ảnh minh họa chi tiết, chân thực và có giá trị tham khảo, giúp người xem hiểu rõ hơn về các triệu chứng và kiến thức y học.


Để Lại Bình Luận Của Bạn

Địa chỉ email của bạn sẽ không được công bố. Các trường bắt buộc được đánh dấu *
×
Ảnh toàn màn hình