Hình ảnh bệnh ghẻ ở trẻ em và cách điều trị an toàn

Xem ngay hình ảnh bệnh ghẻ ở trẻ em để nhận biết chính xác. Bài viết cung cấp thông tin y khoa về nguyên nhân, triệu chứng và cách điều trị, phòng ngừa hiệu quả.


  • Cập nhật: 08-10-2025

Đừng để cơn ngứa ngáy khó chịu hành hạ bé yêu của bạn. Nhận biết sớm qua hình ảnh bệnh ghẻ ở trẻ em là cách tốt nhất để điều trị dứt điểm, tránh lây lan.

Nguyên nhân chính gây ra bệnh ghẻ ở trẻ em là gì?

  • Tác nhân trực tiếp gây bệnh là một loại ký sinh trùng rất nhỏ có tên Sarcoptes scabiei, chúng đào hang dưới da để sinh sống và đẻ trứng.
  • Bệnh lây lan rất nhanh qua tiếp xúc da kề da kéo dài với người mang mầm bệnh, đặc biệt phổ biến trong môi trường nhà trẻ, trường học.
  • Cái ghẻ cũng có thể lây nhiễm gián tiếp khi bé sử dụng chung vật dụng cá nhân như quần áo, khăn tắm, chăn màn với người đang bị bệnh.
Phân biệt các dấu hiệu bệnh ghẻ ở trẻ em và các bệnh da khác
Phân biệt các dấu hiệu bệnh ghẻ ở trẻ em và các bệnh da khác

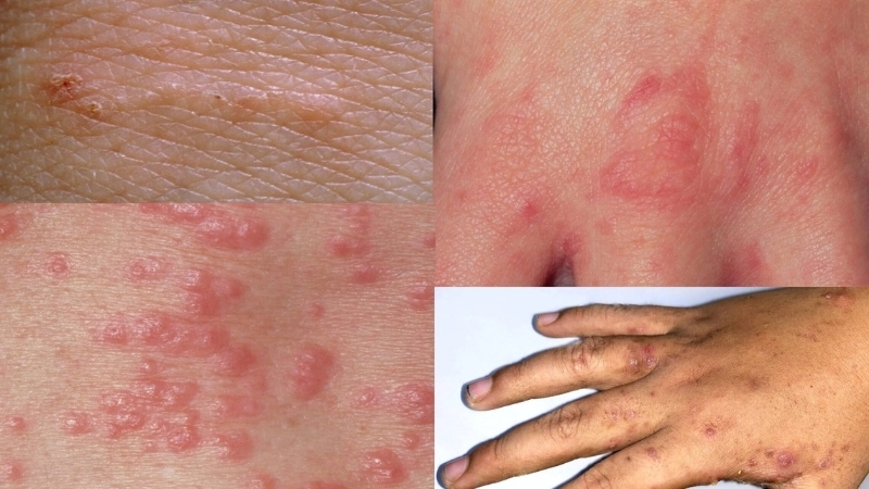
Các triệu chứng chính của bệnh ghẻ ở trẻ em cần chú ý

  • Bé bị ngứa dữ dội, đặc biệt cơn ngứa tăng nặng về ban đêm, khiến bé quấy khóc, khó ngủ và gãi liên tục lên vùng da bị tổn thương.
  • Trên da xuất hiện các mụn nước nhỏ li ti, rải rác hoặc tập trung thành đám, chủ yếu ở các vùng da mỏng và nếp gấp như kẽ ngón tay, kẽ chân.
  • Dấu hiệu đặc trưng là các đường hang (luống ghẻ) do cái ghẻ đào dưới da, có dạng đường chỉ mảnh, ngoằn ngoèo, dài vài mm và có màu thâm.

Làm thế nào để phòng ngừa bệnh ghẻ ở trẻ em hiệu quả?

  • Điều trị đồng thời cho tất cả thành viên trong gia đình hoặc những người tiếp xúc gần với bé, ngay cả khi họ chưa có biểu hiện triệu chứng.
  • Giặt sạch toàn bộ quần áo, chăn ga, vỏ gối và khăn tắm của bé bằng nước nóng (trên 60°C) và sấy khô hoặc phơi dưới nắng to.
  • Vệ sinh cá nhân cho bé sạch sẽ hàng ngày, cắt ngắn móng tay để tránh bé gãi làm trầy xước da, gây nhiễm trùng và khiến bệnh lan rộng.

>>> Khám phá thêm: Hình ảnh bệnh ghẻ và các dấu hiệu nhận biết không thể bỏ qua

Tổng hợp các hình ảnh về bệnh ghẻ trực quan nhất

Các loại thuốc bôi ghẻ cho bé theo từng độ tuổi
Các loại thuốc bôi ghẻ cho bé theo từng độ tuổi
Hình ảnh mụn nước trong bệnh ghẻ nước ở trẻ em
Hình ảnh mụn nước trong bệnh ghẻ nước ở trẻ em
Luống ghẻ điển hình - một dấu hiệu bệnh ghẻ ở trẻ em
Luống ghẻ điển hình - một dấu hiệu bệnh ghẻ ở trẻ em
Các loại kem trị ghẻ cho bé hiệu quả
Các loại kem trị ghẻ cho bé hiệu quả
Tìm hiểu bé bị ghẻ tắm lá gì cho an toàn
Tìm hiểu bé bị ghẻ tắm lá gì cho an toàn
Biểu hiện của bệnh ghẻ nước ở trẻ em
Biểu hiện của bệnh ghẻ nước ở trẻ em
Cách phân biệt ghẻ và rôm sảy qua hình ảnh
Cách phân biệt ghẻ và rôm sảy qua hình ảnh
Hướng dẫn cách trị ghẻ ngứa ở trẻ an toàn
Hướng dẫn cách trị ghẻ ngứa ở trẻ an toàn

>>> Xem thêm ảnh: Bệnh vảy nến da đầu- Hình ảnh, triệu chứng và cách điều trị

Bệnh ghẻ không tự khỏi và cần được điều trị đúng cách. Hãy đưa bé đến gặp bác sĩ da liễu ngay khi có dấu hiệu nghi ngờ để được chẩn đoán và điều trị.

>>> Khám phá thêm: Vi khuẩn ăn thịt người- Hình ảnh và các dấu hiệu cảnh báo


Hùng Nguyên

Khám phá bộ sưu tập ảnh bệnh của Hùng Nguyên với hình ảnh minh họa chi tiết, chân thực và có giá trị tham khảo, giúp người xem hiểu rõ hơn về các triệu chứng và kiến thức y học.


Để Lại Bình Luận Của Bạn

Địa chỉ email của bạn sẽ không được công bố. Các trường bắt buộc được đánh dấu *
×
Ảnh toàn màn hình