Hình ảnh bệnh bạch sản lưỡi - Dấu hiệu tiền ung thư

Xem các hình ảnh bệnh Bạch Sản Lưỡi để phân biệt với Nấm Lưỡi. Hiểu rõ nguyên nhân, triệu chứng và mối liên hệ giữa Bạch Sản và Ung Thư.


  • Cập nhật: 08-10-2025

Phát hiện mảng trắng bất thường trên lưỡi không thể cạo đi? Đừng chủ quan! Bài viết cung cấp hình ảnh rõ nét và thông tin y khoa giúp bạn nhận biết bệnh bạch sản và các nguy cơ tiềm ẩn.

Nguyên nhân chính gây ra bệnh bạch sản lưỡi là gì?

  • Hút thuốc lá (kể cả thuốc lá nhai) và lạm dụng rượu bia là hai nguyên nhân bệnh bạch sản hàng đầu, gây kích ứng mạn tính niêm mạc miệng.
  • Sự cọ xát liên tục từ răng gãy, răng giả không vừa vặn hoặc thói quen cắn má cũng có thể gây ra các tổn thương bạch sản do kích thích cơ học.
  • Nhiễm virus Epstein-Barr (EBV), đặc biệt ở người suy giảm miễn dịch, có thể gây ra một dạng bạch sản đặc biệt gọi là bạch sản dạng lông ở miệng.
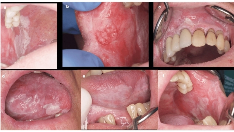
Hiểu rõ bệnh bạch sản là gì qua hình ảnh tổn thương mảng trắng điển hình.
Hiểu rõ bệnh bạch sản là gì qua hình ảnh tổn thương mảng trắng điển hình.

Các triệu chứng chính của bệnh bạch sản lưỡi cần chú ý

  • Xuất hiện các mảng dày, màu trắng hoặc xám trên lưỡi, nướu hoặc niêm mạc má mà không thể lau hay cạo sạch đi được như bệnh nấm lưỡi.
  • Bề mặt các mảng bạch sản có thể phẳng, dày lên, cứng lại hoặc có các nếp nhăn. Hầu hết các trường hợp ban đầu không gây đau đớn cho người bệnh.
  • Sự xuất hiện của các đốm đỏ xen kẽ (hồng sản), bề mặt sần sùi hoặc loét là dấu hiệu cảnh báo nguy cơ cao về mối liên hệ giữa bạch sản và ung thư.

Làm thế nào để phòng ngừa và điều trị bệnh bạch sản lưỡi?

  • Ngừng hút thuốc lá và hạn chế tối đa rượu bia là bước đầu tiên và quan trọng nhất trong việc phòng ngừa và hỗ trợ quá trình điều trị bệnh hiệu quả.
  • Duy trì vệ sinh răng miệng tốt, khám nha khoa định kỳ để xử lý các vấn đề như răng sắc nhọn hoặc phục hình không phù hợp gây cọ xát mạn tính.
  • Cách điều trị bệnh bạch sản có thể bao gồm theo dõi định kỳ, sinh thiết để chẩn đoán và loại bỏ tổn thương bằng phẫu thuật laser hoặc dao mổ.

>>> Khám phá thêm: Bệnh viêm nướu- Hình ảnh, dấu hiệu và cách điều trị hiệu quả

Nhận biết qua các hình ảnh bệnh bạch sản lưỡi

Hình ảnh tổn thương hồng sản, nguy cơ cao của ung thư
Hình ảnh tổn thương hồng sản, nguy cơ cao của ung thư
Hình ảnh bạch sản dạng lông để hiểu rõ hơn bệnh bạch sản là gì
Hình ảnh bạch sản dạng lông để hiểu rõ hơn bệnh bạch sản là gì
Cận cảnh triệu chứng bạch sản lưỡi ở niêm mạc má
Cận cảnh triệu chứng bạch sản lưỡi ở niêm mạc má
Hình ảnh minh họa nguyên nhân bệnh bạch sản do thuốc lá
Hình ảnh minh họa nguyên nhân bệnh bạch sản do thuốc lá
Dấu hiệu cảnh báo mối liên hệ bạch sản và ung thư
Dấu hiệu cảnh báo mối liên hệ bạch sản và ung thư
Hình ảnh so sánh bệnh bạch sản và nấm lưỡi
Hình ảnh so sánh bệnh bạch sản và nấm lưỡi
Thực đơn cho người viêm loét dạ dày nên ăn gì để mau lành
Thực đơn cho người viêm loét dạ dày nên ăn gì để mau lành
Minh họa nguyên nhân gây viêm nướu chính
Minh họa nguyên nhân gây viêm nướu chính

>>> Gợi ý cho bạn: Bệnh sốt siêu vi- Hình ảnh, triệu chứng và cách chăm sóc

Bạch sản lưỡi có thể là tổn thương tiền ung thư. Khi phát hiện các mảng trắng bất thường trong miệng, hãy đến gặp bác sĩ để được chẩn đoán và can thiệp sớm.

>>> Đừng bỏ lỡ: Bệnh viêm loét dạ dày- Hình ảnh và dấu hiệu nhận biết sớm


Hùng Nguyên

Khám phá bộ sưu tập ảnh bệnh của Hùng Nguyên với hình ảnh minh họa chi tiết, chân thực và có giá trị tham khảo, giúp người xem hiểu rõ hơn về các triệu chứng và kiến thức y học.


Để Lại Bình Luận Của Bạn

Địa chỉ email của bạn sẽ không được công bố. Các trường bắt buộc được đánh dấu *
×
Ảnh toàn màn hình